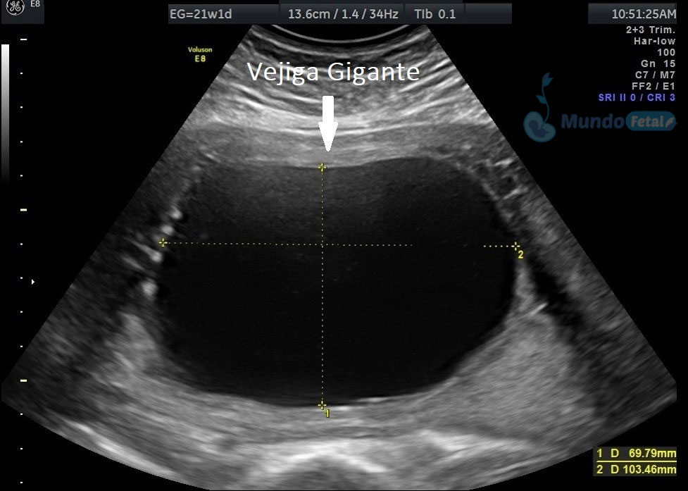
Ultrasonido Nivel II, Patología Fetal

Estudio llevado a cabo en todo bebe, en quien se haya detectado alguna alteración anatómica o marcador de riesgo, valorando todos sus órganos, aparatos y sistemas, de manera específica y detallada.

ANATOMICO-ORBITAS

Beneficios

  • Diagnostico específico.
  • Estudios complementarios de ser necesarios.
  • Asesoría Genética.
  • Tratamiento Multidisciplinario.
  • Evitar complicaciones.

Recomendación:

Realizarse en todas las pacientes que así lo requieran, de acuerdo a la alteración fetal.