Ultrasonido 3er Trimestre (Crecimiento y Desarrollo)

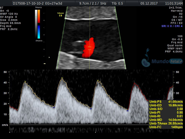
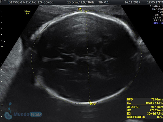
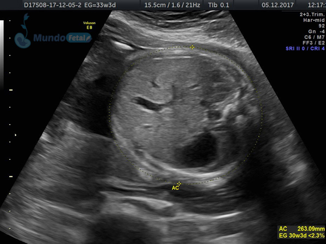
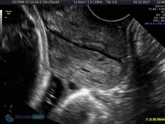
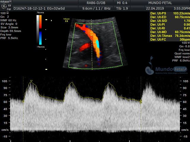
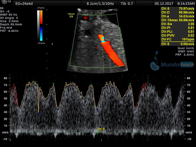
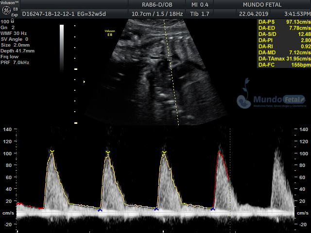
Se recomienda de 32-34 semanas, realizando valoración de crecimiento armónico (4 medidas específicas), valoración anatómica, líquido amniótico, flujos sanguíneos fetales y placentarios perfilando el bienestar fetal hacia el final de embarazo.

ANATOMICO-ORBITAS

Beneficios

  • Valorar el bienestar del bebe.
  • Descartar o confirmar oportunamente riesgos y anomalías fetales, sugerentes de vigilancia y estudios complementarios.
  • Tratamiento oportuno
  • Evitar complicaciones
  • Valorar el momento indicado del nacimiento.

Recomendación:

Realizarse en todas las pacientes.