Ultrasonido Pélvico

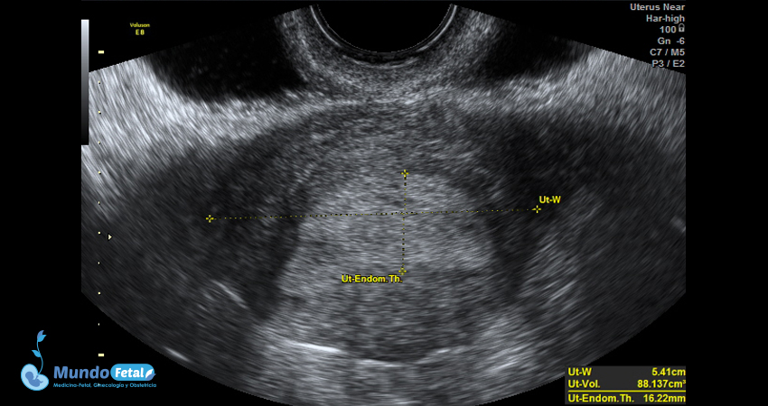
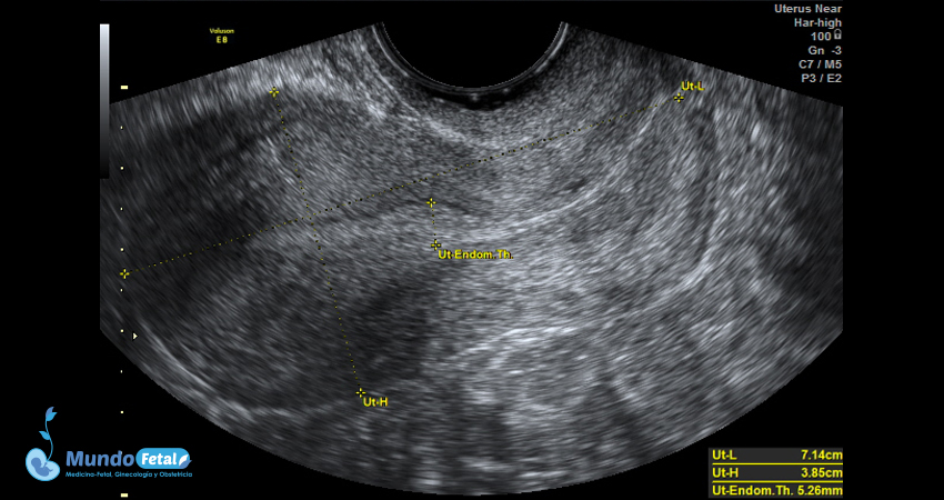
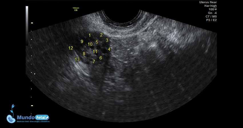
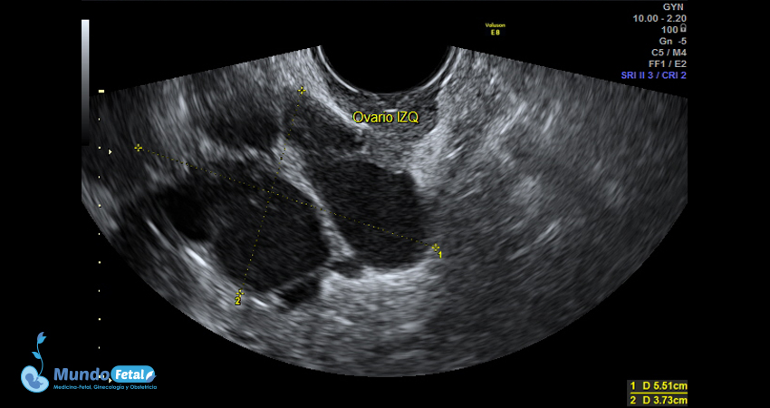
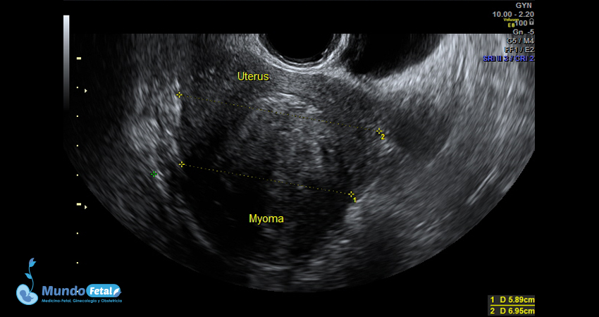
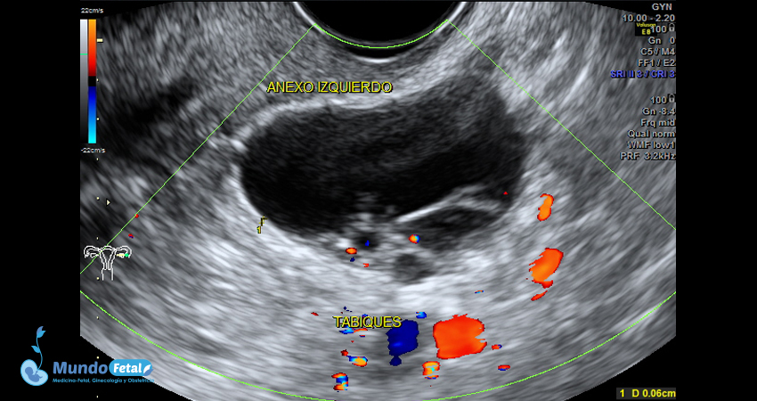
Estudio anatómico de la región pélvica, que brinda información precisa de (vagina, cérvix, útero, endometrio, trompas de Falopio, ovarios y sus tejidos anexos) de cada uno, descartando alguna complicación de estas estructuras.


Beneficios

  • Valorar el bienestar femenino
  • Descartar alteraciones, sugerentes de vigilancia y estudios complementarios
  • Tratamiento oportuno
  • Evitar complicaciones

Recomendación:

Realizarse en todas las pacientes con sospecha de alguna alteración de esta región anatómica.